il carico immediato in odontoiatria
Riavere denti fissi in poche ore!
L'implantologia a carico immediato rappresenta un importante progresso nel campo dell'odontoiatria e della chirurgia implantare, offrendo soluzioni rapide e efficaci per i pazienti che necessitano di riabilitazioni dentali. Questo approccio consente di posizionare impianti dentali e, in molti casi, applicare una protesi rigida nello stesso giorno dell'intervento chirurgico, riducendo il periodo di attesa tradizionalmente associato all'adeguamento degli impianti.
Cos'è l'implantologia a carico immediato?
L'implantologia a carico immediato è una tecnica in cui gli impianti dentali vengono inseriti nell'osso mascellare o mandibolare, e la protesi dentale viene fissata su questi impianti entro poche ore dall'intervento. Questa metodica è particolarmente vantaggiosa per pazienti con denti compromessi o che hanno subito un'estrazione dentale, poiché consente di ottenere un risultato estetico funzionale rapido.
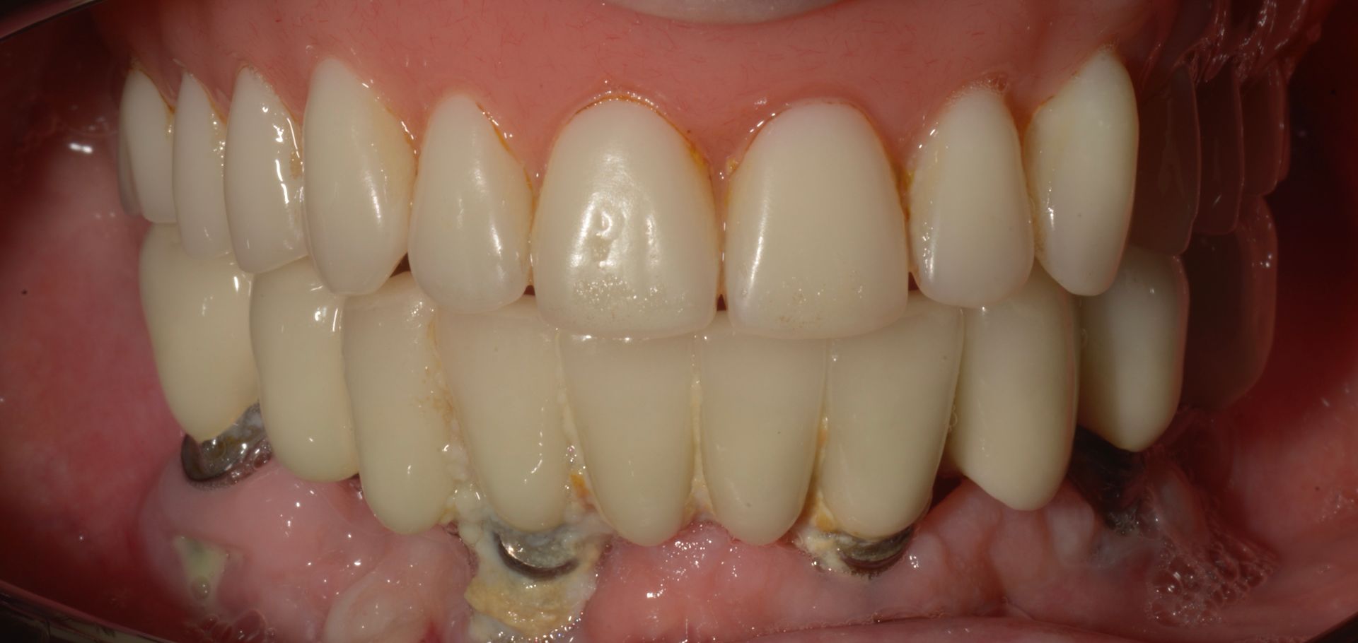
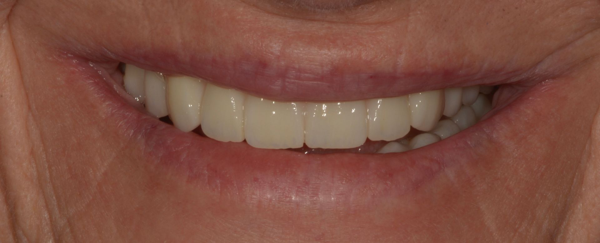
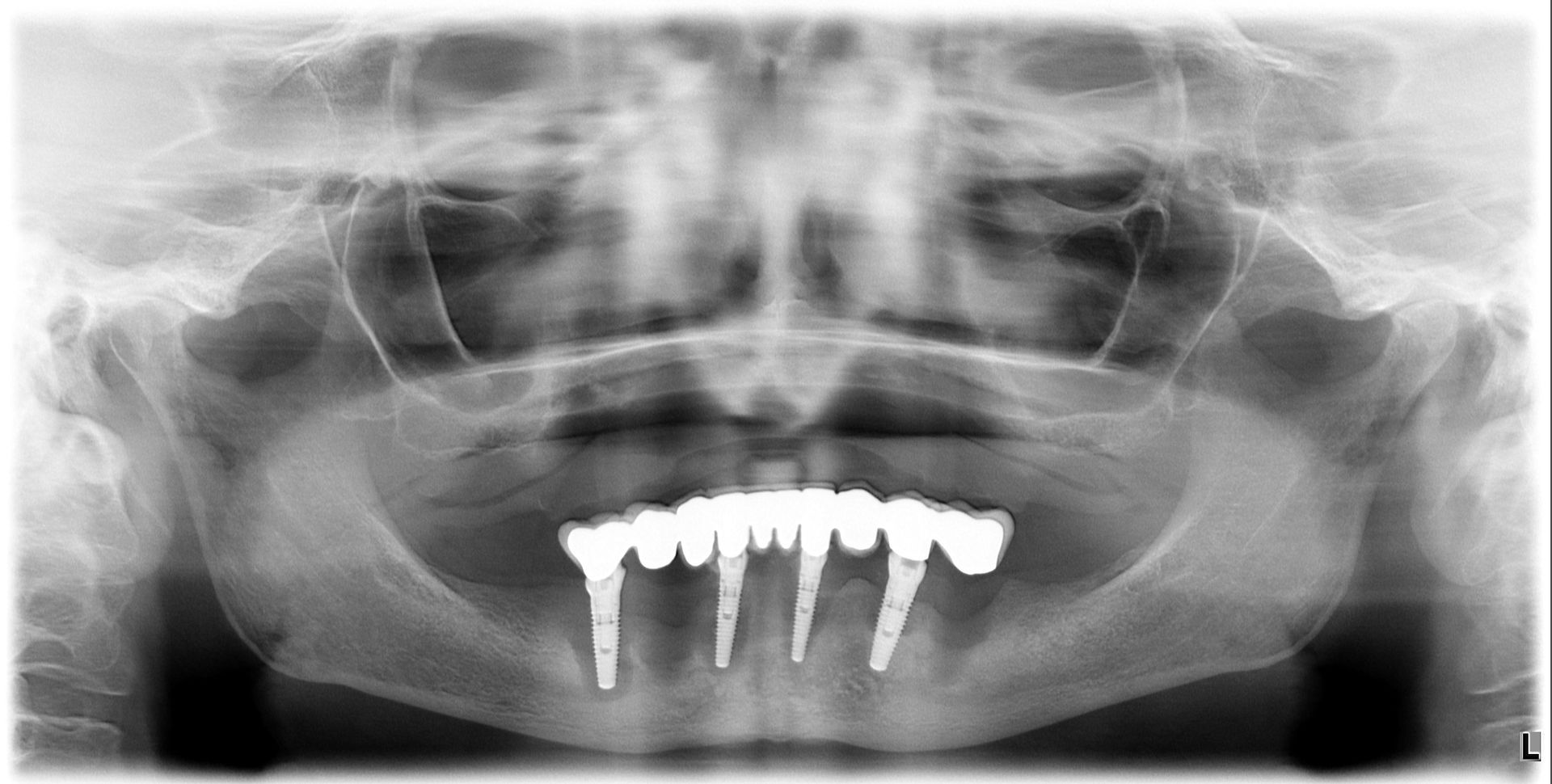
Vedi il caso qui accanto il paziente aveva vecchi impianti falliti e una protesi totale superiore e gli avevano detto che non aveva possibilità di mettere denti fissi...
ecco il caso completo
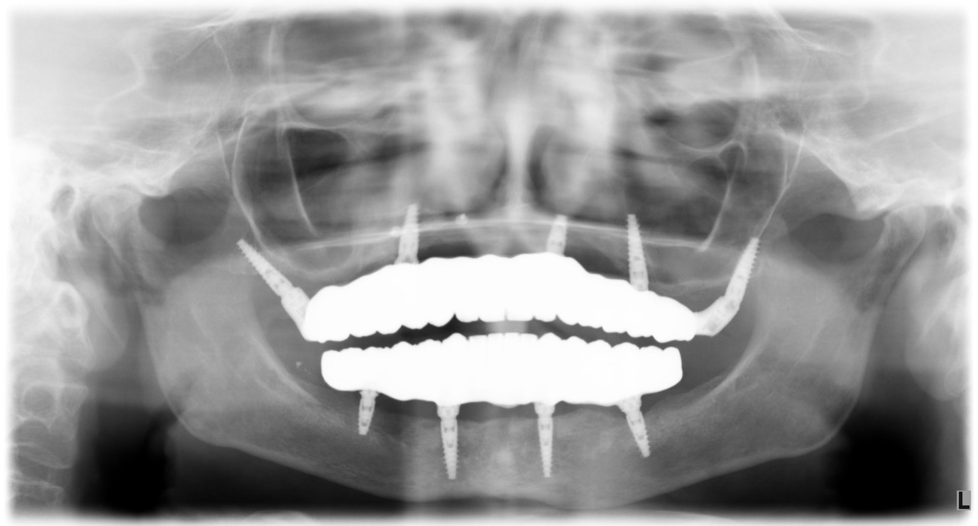
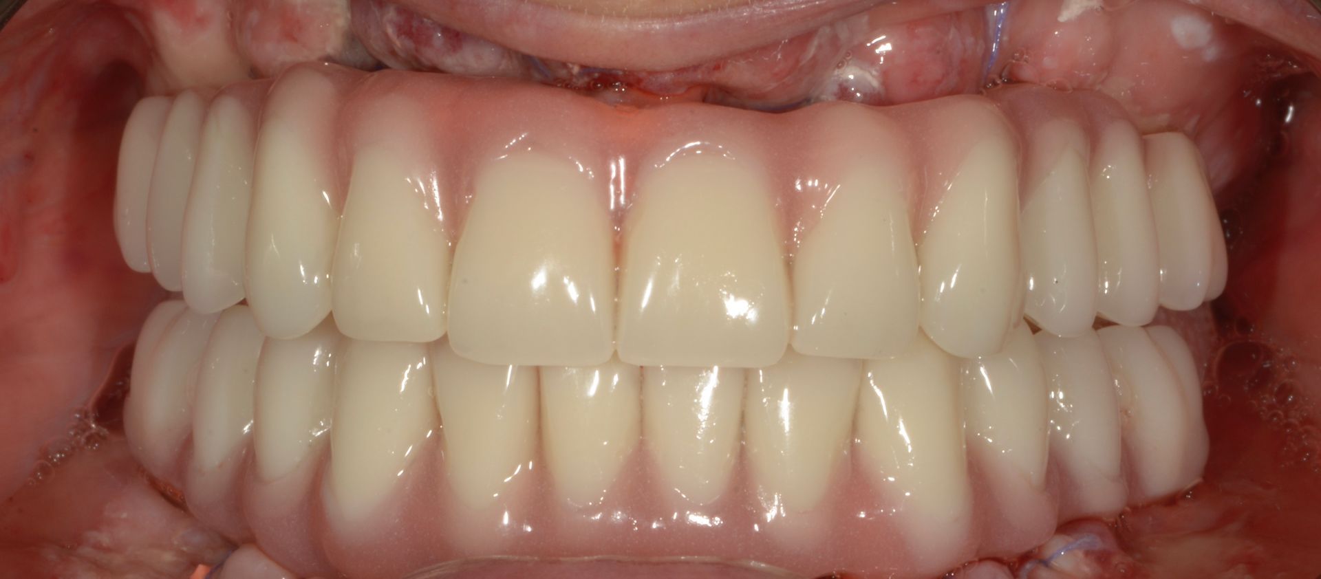
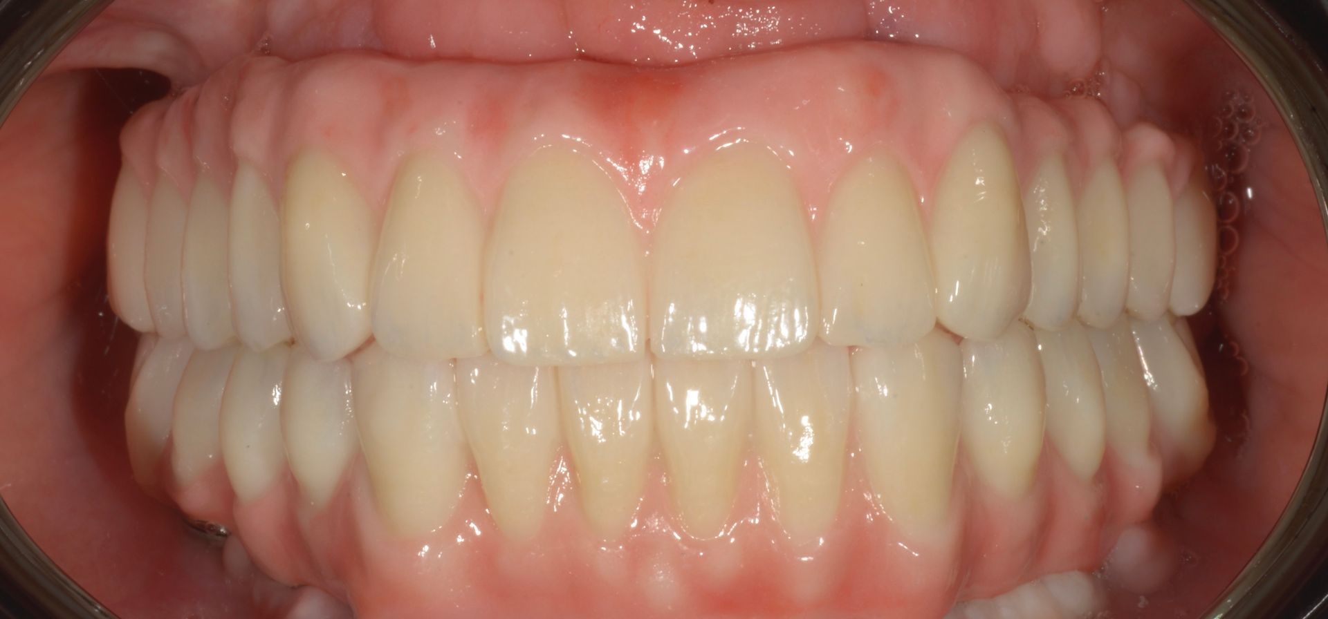
Il paziente era molto amareggiato perché non tollerava la protesi totale e aveva dolori dovuti agli impianti infetti dell'arcata inferiore. Dopo un attento studio del caso, in cui sono state studiate le forme e le altezze delle nuove protesi e abbiamo eseguito una pianificazione digitale dell'intervento chirurgico impiantare abbiamo inserito 5 impianti nel superiore con una rigenerativa orizzontale e 4 impianti nell'inferiore. a distanza di 4 ore dall'intervento abbiamo caricato gli impianti con le protesi provvisorie a carico immediato fatte con resina e una struttura in titanio, a distanza di 6 mesi sono state sostituite con 2 arcate titanio zirconio.


